г. Краснодар,
ул. Железнодорожная 23/1, офис 52-56
АННОТАЦИЯ:
Многообразие клинических проявлений ретенции зубов обуславливает необходимость совершенствования диагностики и лечения детей с этой патологией. По наблюдениям авторов, тактика и сроки комплексной реабилитации детей с зубочелюстными аномалиями и ретенцией зубов индивидуальны. В этой связи подробно описаны результаты диагностики и лечения ребенка, обратившегося к ортодонту в период сменного прикуса. Показана необходимость применения ортопантомографии для выявления ретенированных зубов и компьютерной томографии для уточнения их локализации. Соблюдение индивидуализированного подхода комплексной реабилитации пациентов позволяет упорядочить последовательность и преемственность действий врачей ортодонта и хирурга, повысить точность диагностики, эффективность хирургического и ортодонтического лечения, снизить риск осложнений, повысить качество лечения детей с аномалиями зубных дуг и окклюзии, осложненными множественной ретенцией комплектных и сверхкомплектных зубов.

Ключевые слова: ретенция зубов, ортопантомография, лечение, дети

Авторы: Ф.С Аюпова, К.К Гаспарян
Клинико-рентгенологическая диагностика и результаты лечения детей с ретенцией комплектных постоянных и сверхкомплектных зубов
ЦЕЛЬ ИССЛЕДОВАНИЯ
Совершенствование индивидуализированной тактики комплексного лечения детей с ретенцией сверхкомплектных и комплектных постоянных зубов в период постоянного прикуса.

МАТЕРИАЛ И МЕТОДЫ ИССЛЕДОВАНИЯ
Нами проведена оценка результатов лечения восьми детей в возрасте от 10 до 15 лет с ретенцией комплектных и сверхкомплектных постоянных зубов. Диагностический комплекс включал клинические (основные) и дополнительные методы исследования (табл. 1) до лечения, в процессе и после лечения. Получены фотографии лица, диагностические модели челюстей и ортопантомограммы. На фотографиях по общепринятым методам определены конфигурация, симметричность, пропорциональность среднего и нижнего отделов, тип профиля лица. Анализ ортопантомограмм выполнен в соответствии с рекомендациями из современных источников литературы. Выполнен подробный анализ компьютерных томограмм. На серии сканов изучены особенности развития ретенированных зубов, их топография. По результатам обследования для каждого клинического случая был составлен индивидуализированный комплексный план лечения, первый этап которого предусматривал ортодонтическое устранение зубочелюстных аномалий и создание места в дуге для ретенированных зубов. Динамику прорезывания зубов определяли методом ортопантомографии. У 90% пациентов (семь человек из восьми) наблюдали положительную динамику перемещения ретенированного зуба в костной ткани в сторону его нормальной локализации. В случаях выявления тенденции самостоятельного прорезывания зуба хирургическое вмешательство (второй этап лечения) ограничивалось удалением костной ткани, задерживающей продвижение зачатка. В дальнейшем наблюдали за самостоятельным прорезыванием зуба. В сложных клинических случаях множественной ретенции комплектных и сверхкомплектных зубов для уточнения индивидуальных особенностей морфотопикометрических проявлений патологии направляли на компьютерную томографию проблемного участка челюсти. Хирургическим путем обнажали доступную поверхность коронки ретенированного зуба, фиксировали ортодонтическую кнопку и применяли тягу (третий этап лечения) при помощи эластической цепочки, либо нитиноловой дуги круглого сечения диаметром 012''-014''. После прорезывания зуба производили фиксацию соответствующего брекета и устанавливали зуб в дугу, в последующем осуществляли ортодонтическую коррекцию окклюзионных контактов. Ретенционный период определяли индивидуально, с учетом сроков ортодонтического лечения.

РЕЗУЛЬТАТЫ ИССЛЕДОВАНИЯ И ИХ ОБСУЖДЕНИЕ
У восьми пациентов выявлено 17 комплектных и 29 ретенированных сверхкомплектных зубов (табл. 2). По нашим наблюдениям, ретенированные сверхкомплектные зубы в 1,7 раза чаще выявлялись в области премоляров нижней и резцов верхней челюстей. По плану лечения пациентов большинство сверхкомплектных зубов были удалены, ретенированные комплектные зубы успешно выведены в дугу. У одного пациента выявлены зачатки сверхкомплектных зубов в области корней прорезавшихся в дугу премоляров верхней и нижней челюстей слева. В связи с отсутствием каких-либо жалоб и по настойчивой просьбе родителей пациента эти сверхкомплектные зубы не удалены. Пациенту рекомендовано наблюдение у ортодонта два раза в год. Таким образом, сроки ортодонтического лечения детей с зубочелюстными аномалиями и ретенцией зубов зависели от выраженности аномального положения отдельных зубов и нарушений формы и размеров зубных дуг и их соотношения. После завершения коррекции положения зубов, формы и размеров зубной дуги создавалось место для ретенированного зуба. При этом расстояние между зубами, ограничивающими дефект зубного ряда, превышало предполагаемую ширину коронки ретенированного зуба на 1,5- 2,0 мм, что облегчало выведение ретенированного зуба в дугу. Срок комплексного лечения пациентов с множественными сверхкомплектными зубами и глубоко расположенными ретенированными зубами в 2-3 сегментах зубных дуг и сочетанными зубочелюстными аномалиями достигал трех и более лет и сопровождался ретенционным периодом.
8.19
Винир ультротонкий
55000 р
8.19
Винир ультротонкий
55000 р
Таблица 1. Количественная характеристика материала исследования
8.19
Винир ультротонкий
55000 р
8.19
Винир ультротонкий
55000 р
Таблица 2. Структура и локализация ретенированных постоянных комплектных и сверхкомплектных зубов
8.19
Винир ультротонкий
55000 р
8.19
Винир ультротонкий
55000 р
8.19
Винир ультротонкий
55000 р
Таблица 3. Динамика изменения наклона постоянных зубов пациента Ф.А. по данным ортопантомографии в возрасте 10 (2009 г.) и 14 (2013 г.) лет
8.19
Винир ультротонкий
55000 р
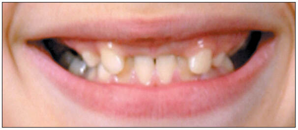
Клинический случай Пациент Ф.А., 10 лет, обратился в 2009 году с жалобами на отсутствие передних зубов верхней челюсти и боковых зубов нижней челюсти. При осмотре выявлены дефекты зубных рядов во фронтальном отделе верхней челюсти (рис. 1) и боковых отделах нижней челюсти.
Рис. 1. Дефект верхнего зубного ряда верхней челюсти Ф. А., 10 лет
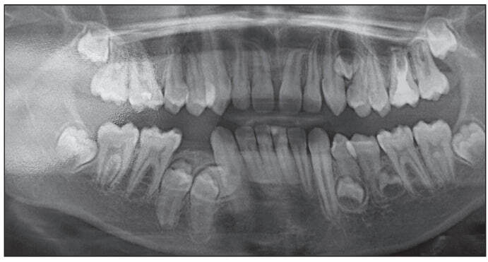
С предварительным диагнозом «ретенция 1.1, 2.1, 2.4, 3.4, 3.5, 4.4, 4.5 зубов, сверхкомплектные зубы» пациент направлен на ортопантомографию челюстей. На ортопантомограмме (рис. 2) патология костной ткани отсутствовала.
Рис. 2. Ортопантомограмма Ф. А., 10 лет, до лечения
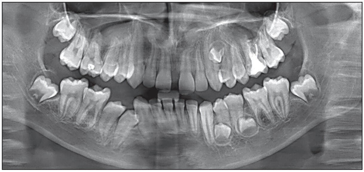
Выявлены зачатки 1.1, 2.1, 2.4, 3.4, 3.5, 4.4, 4.5, корни которых находятся в стадии апексогенеза. Количество сверхкомплектных зубов на ортопантомограмме точно определить не удалось. Наклон ретенированных постоянных зубов был разнообразным. Конвергенция зубов, ограничивающих дефекты зубных дуг, и дефицит места в дуге препятствовали прорезыванию ретенированных зубов в дугу. По результатам клинических и рентгенологических методов исследования сформулирован диагноз «дистальная окклюзия, глубокая резцовая дизокклюзия; сужение и укорочение зубных дуг, тесное положение зубов; ретенция 1.1, 2.1, 2.4, 3.4, 3.5, 4.4, 4.5 зубов; ретенция сверхкомплектных зубов». Комплексный план лечения включал ортодонтические и хирургические вмешательства. Ортодонтическое лечение было начато с создания места в зубной дуге для прорезывания ретенированных центральных резцов верхней челюсти при помощи небной пластинки с расширяющим винтом и искусственными резцами. Хирургическое вмешательство включало удаление сверхкомплектных зубов в области 1.1, 2.1 зубов. Через шесть месяцев началось прорезы вание 1.1 и 2.1 зубов. В этой связи искусственные резцы были сошлифованы, съемный аппарат оставлен для сохранения места в зубной дуге для прорезывания резцов. Для оценки эффективности результатов проведенного лечения и уточнения плана лечебных мероприятий пациент был повторно направлен на ортопантомографию (рис. 3), для уточнения ситуации – на компьютерную томографию челюстей, по результатам которой выявлены пять сверхкомплектных зубов, в том числе в области верхних клыка и первого премоляра слева – один, нижних премоляров слева – два, нижних премоляра справа – два.
Рис. 3. Ортопантомограмма Ф. А., 11 лет, на этапе лечения
Изучено положение сверхкомплектных зубов, локализующихся в области верхушки альвеолярного гребня с язычной стороны 4.4 и 4.5 зубов. Оказалось, что мезиальный сверхкомплектный зуб расположен горизонтально в направлении зубной дуги, а бугры дистального направлены в язычную сторону. Признаки патологии костной ткани не обнаружены (рис. 4).
Рис. 4. Компьютерная томография нижней челюсти пациента Ф. А., 12 лет
Дальнейшее ортодонтическое воздействие при помощи нижнечелюстной пластинки с расширяющим и удлиняющим зубной ряд винтами и искусственными зубами в боковых отделах было направлено на создание места в зубной дуге для прорезывания ретенированных премоляров нижней челюсти. Произведено удаление сверхкомплектных зубов в области 4.4 и 4.5 зубов. Через восемь месяцев отмечено прорезывание премоляров нижней челюсти справа (рис. 5).
Рис. 5. Ортопантомограмма Ф. А., 12 лет, на этапе лечения
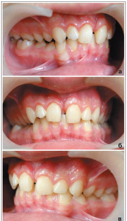
В этой связи искусственные зубы были сошлифованы, съемный аппарат оставлен для сохранения протяженности нижней зубной дуги в области премоляров. Продолжительность комплексного лечения и наблюдения за формированием прикуса у пациента Ф. А. составила четыре года. Иллюстративный материал (рис. 6, 7 и табл. 3) наглядно демонстрирует успешность примененной тактики лечения.
Рис. 6. Фотографии полости рта Ф.А., 13 лет, после прорезывания ретенированных 1.1, 2.1, 4.4 и 4.5 зубов: а – вид справа, б – вид спереди, в – вид слева
На ортопантомограмме, полученной после завершения активного периода ортодонтического лечения, имеются зачатки ретенированных сверхкомплектных зубов в области верхних и нижних клыков и премоляров слева. От удаления зачатков ретенированных сверхкомплектных зубов пациент отказался. В этой связи в настоящее время пациент находится под диспансерным наблюдением врачей ортодонта и хирурга-стоматолога. Таким образом, комплексный план лечения детей с множественной ретенцией комплектных и сверхкомплектных зубов включает ортодонтические и хируругические вмешательства, последовательность выполнения и объем которых определяется в соответствии с индивидуальными особенностями клинических проявлений патологии. При диагностике и лечении пациентов с аномалиями зубных дуг и окклюзии, осложненными ретенцией комплектных и сверхкомплектных зубов, целесообразно применение современных методов исследования, таких как ортопантомография, компьютерная томография, при которых лучевая нагрузка минимальна и не приносит вред здоровью пациента.
Выводы:
1. Результат исследования подтверждает необходимость применения ортопантомографии для выявления ретенированных комплектных и сверхкомплектных зубов и компьютерной томографии для уточнения их локализации.
2. Ограничение зоны компьютерной томографии в соответствии с локализацией патологии (сегментарная КТ) снижает суммарную дозу облучения, сокращает время и стоимость исследования, значительно повышает достоверность диагностики.
3. Соблюдение индивидуализированного подхода при комплексном лечении пациента помогает упорядочить последовательность и преемственность действий врачей ортодонта и хирурга, позволяет повысить точность диагностики, эффективность хирургического и ортодонтического лечения, снизить риск осложнений, повысить качество лечения детей с аномалиями зубных дуг и окклюзии, осложненными множественной ретенцией комплектных и сверхкомплектных зубов.