г. Краснодар,
ул. Железнодорожная 23/1, офис 52-56
АННОТАЦИЯ:
Комплексная диагностика, раннее выявление и своевременное устранение травмирующих факторов путем ортодонтического лечения помогают предотвратить усугубление рецессии десны. Первые признаки данной патологии проявляются в сменном прикусе. Проведение конусно-лучевой компьютерной томографии позволяет выявить особенности строения зубочелюстной системы пациента и предвидеть зону риска. В зону риска попадают пациенты с тонким биотипом десны. При наличии рецессий у таких пациентов требуется хирургическая коррекция до и после ортодонтического лечения.

Ключевые слова: рецессия десны, ортодонтическое лечение, хирургическая коррекция, комплексная диагностика

Авторы: А.Ф. Верапатвелян, К.К Гаспарян, А.В. Топольян, А.С. Мосесова, С.С. Стрельникова, Н.В. Нуйкина.
Протокол комплексного ортодонто-хирургического лечения рецессии десны у детей
Исследования полости рта детей Краснодарского края свидетельствуют о высокой распространенности такой патологии, как скученность зубов. В работах авторов [1, 3, 4, 11] указано, что почти у 75% детей наблюдаются нарушения прикуса разной степени сложности. У 12—47% из них ортодонтическая патология сопровождается заболеваниями слизистой оболочки полости рта: гингивитом, хейлитом, рецессией десны и др. [5, 8, 10, 12]. Рецессия десны (РД) — это изменение уровня десневого края относительно цементно-эмалевой границы, которое ведет к обнажению корня зуба [2]. Цель исследования: сформулировать протокол комплексного ортодонтическо-хирургического лечения РД у пациентов со сменным и постоянным прикусом, учитывая этиологию РД.

МАТЕРИАЛ И МЕТОДЫ
Нами проведено стандартное клиническое стоматологическое обследование детей с РД до ортодонтического лечения в возрасте 8—17 лет: 17 — со сменным и 14 — с постоянном прикусом. Измерение РД проводилось пародонтологическим зондом по ВОЗ. Изучены диагностические модели челюстей, данные рентгенологических исследований — ортопантомограмма (ОПТГ), телерентгенограмма головы в прямой проекции (ТРГ), конусно-лучевая компьютерная томография (КЛКТ).

РЕЗУЛЬТАТЫ И ОБСУЖДЕНИЕ
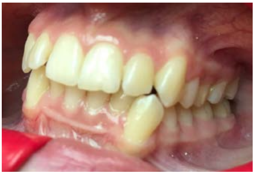
Первые признаки РД проявляются при сменном прикусе на этапе прорезывания постоянных резцов, чаще на нижней челюсти (рис. 1).
Рис. 1. До ортодонтического лечения: рецессия в области зуба 3.1
У 2 пациентов наблюдали РД с небной поверхности верхних резцов при травмирующей глубокой окклюзии. Величина РД при сменном прикусе составила 2±1 мм, в постоянном — 3,0±0,75 мм. При клиническом обследовании пациентов выявляли факторы, влияющие на образование РД (см. таблицу). Из таблицы видно, что при сменном прикусе причиной рецессий чаще является травматическая окклюзия, аномалия преддверия и уздечек губ и протрузия резцов. При планировании лечения у пациентов с постоянным прикусом определяли толщину костной ткани на КЛКТ. Это позволяет выявить индивидуальные особенности строения зубочелюстной системы пациента и предвидеть зону высокого риска. Наличие кортикальной кости с вестибулярной поверхности зуба в сочетании с толстым биотипом десны наиболее благоприятно для ортодонтического лечения. При определении типа роста лицевого скелета по данным ТРГ обратили внимание, что у детей с горизонтальным типом роста кортикальная пластинка значительно толще, чем с вертикальным (рис. 2).
Рис. 2. ТРГ перед ортодонтическим лечением: пациент с вертикальный типом роста и тонким биотипом десны
Таблица 1
На верхней челюсти кортикальная пластинка всегда толще, чем на нижней у брахиоцефалов [7]. У долихоцефалов на верхней челюсти кортикальная пластинка всегда толще нижней в переднем отделе, и наоборот — в боковых отделах. По данным ОПТГ получали информацию только о количестве зубов и наличию или отсутствию сверхкомплектных.

Принятый нами протокол комплексного ортодонтическо-хирургического лечения данной патологии в сменном прикусе заключался:
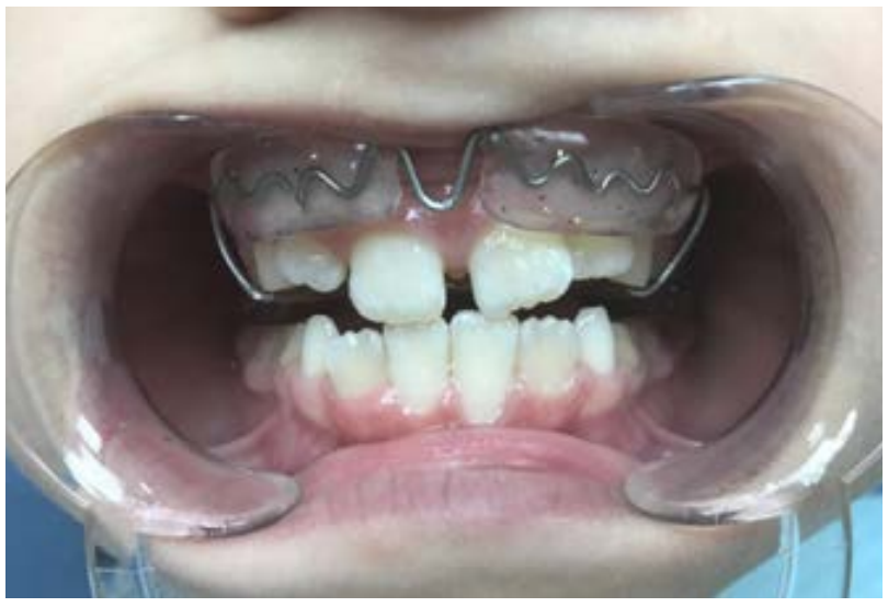
1. В устранении травмирующего фактора путем разобщения прикуса с помощью съемных ортодонтических устройств (рис. 3);
2. Хирургическая коррекция патологического влияния уздечек, тяжей и углубление преддверия полости рта [6, 9] (рис. 4);
3. Проведение ортодонтического лечения через 3—6 месяцев после хирургического вмешательства, направленное на расширение зубных дуг с помощью съемных устройств.
Рис. 2. ОртопантомограРис. 3. Тот же пациент на этапе ортодонтического лечения: выведение резцов из травмирующего прикуса с помощью ортодонтического устройства — процесс стабилизированмма Ф. А., 10 лет, до лечения
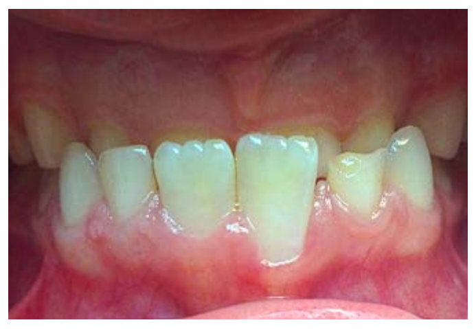
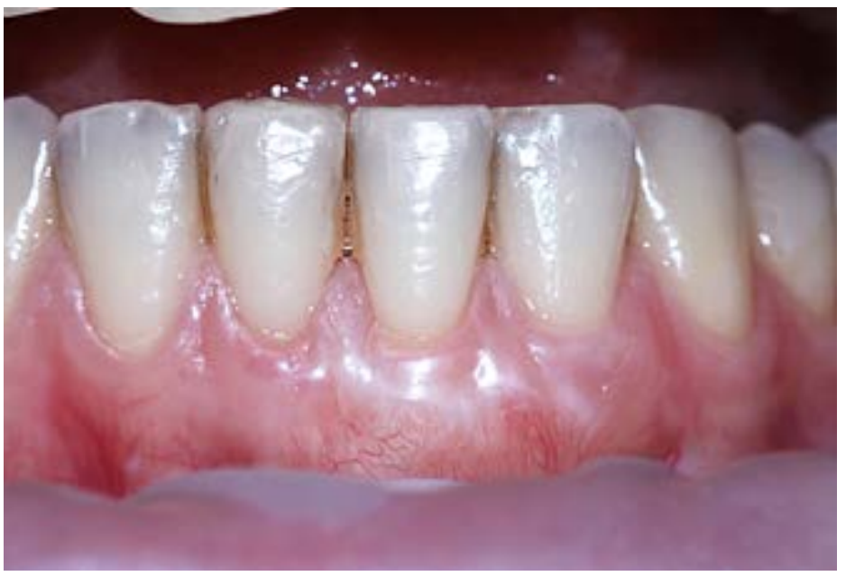
Рис. 4. Отдаленный результат лечения рецессии в области зуба 3.1 при сменном прикусе. После перемещения зуба из вестибулопозиции орально проведена пластика преддверия
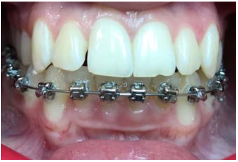
Обращает на себя внимание тот факт, что при перемещении нижних зубов лингвально из лабиальной позиции, т.е. при устранении протрузии, происходило уменьшение РД без ее пластики, на наш взгляд, за счет утолщения слизистой оболочки. В таких случаях хирургическая коррекция не проводилась. Этот процесс мы наблюдали у 3 растущих пациентов. При постоянном прикусе у пациентов с РД преобладает скученность резцов и тонкий биотип слизистой оболочки десны. Поэтому хирургическая подготовка перед ортодонтическим лечением заключалась в изменении биотипа десны путем пластики свободным соединительнотканным лоскутом. Далее лечение проводили на несъемной безлигатурной технике, с применением адекватных сил (рис. 5).
Рис. 5. Тот же пациент на этапе лечения несъемной техникой
Рис. 6. Рецессия в области зуба 3.1, возникшая в процессе ортодонтического лечения
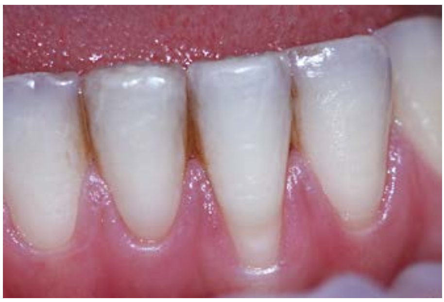
. В этом возрасте не наблюдали самопроизвольного устранения РД во фронтальном отделе верхнего зубного ряда. Чтобы не усугублять этот дефект и снизить натяжение мягких тканей пародонта и уменьшить размер зубов при макродентии проводили апроксимальную редукцию эмали. Однако при перемещении нижних резцов из лингвальной позиции вестибулярно у 2 пациентов наблюдали появление и у 1 углубление РД. Это осложнение ортодонтического лечения устраняли пластикой десны в ретенционном периоде (рис. 6, 7).
Рис. 7. Пластика десны, закрытие рецессии в области зуба 3.1
Выводы:
Рецессия десны возникает при сочетании нескольких факторов. Протокол комплексного ортодонтическо-хирургического лечения данной патологии индивидуален для каждого пациента и зависит от его возраста, этиологии, глубины и степени поражения, места локализации процесса. При отказе от лечения патологический процесс усугублялся в постоянном прикусе. Ортопантомограмма как метод диагностики для оценки толщины кортикальной кости у резцов малоинформативна при данной патологии и следует отдавать предпочтение диагностической конусно-лучевой компьютерной томографии (рис. 8).
Рис. 8. КЛКТ пациента перед ортодонтическим лечением